Dete je zdravo onoliko koliko su mu zdravi zubi. Ovo je činjenica koju mnogi roditelji zanemaruju, pod izgovorom da mlečni zubi nisu bitni, „da se mlečni zubi ne kvare“ i da će svakako ispasti. Mlečni zubi su veoma bitan faktor za zdravlje i pravilan razvoj deteta. Bez zdravih zuba nema ni pravilnog razvoja vilica, govora, žvakanja, a samim tim ni varenja što ugrožava opšte zdravlje deteta. Oboleli mlečni zubi mogu ugroziti razvoj stalnih zuba. Narušena estetika može jako loše uticati na psihološki i socijalni razvoj mališana. Svaki roditelj zna da će se mlečni zubi njegovog deteta promeniti, ali to nikako ne treba da bude izgovor za lošu higijenu i mnogo karijesa na prvim zubićima. Zato je neophodno da svi roditelji imaju svest o tome kada niču prvi zubići, kako se oni peru i koji je njihov značaj. Kako i kada niču mlečni i stalni zubi?
Mlečnih zuba ima 20, za razliku od stalnih kojih ima 32. Prvi mlečni zub niče oko 6. meseca i to je obično donji prvi sekutić (jedinice), a za njim obično posle mesec dana niče i gornji prvi sekutić. Drugi donji i gornji sekutić (dvojke) niču od 9. do 11. meseca i obično do prve godine života niknu svi mlečni sekutići. Prvi mlečni molari (četvorke) niču od 11. do 18. meseca, nakon njih od 15. do 22. meseca niču očnjaci (trojke) i na kraju oko 2,5 godine pojavljuju se i zadnji mlečni molari (petice). Stalni zubi se obično pojavljuju oko 6. godine, pred polazak u školu počev od prvog stalnog molara (šestice). Zatim sledi smena sekutića oko 6-9 godine, prvo donjih pa onda gornjih, prvih pa drugih sekutića (jedinice i dvojke). Od 10.-12. godine niču i premolari (četvorke i petice), očnjaci (trojke) se u istom periodu smenjuju mada mogu malo i kasniti za premolarima. Drugi molari (sedmice) niču od 11.-13. godine, a treći molari (umnjaci) od 17.-21. godine, mada njihovo nicanje često može biti otežano pa samim tim se javljaju i kasnije. Koji su simptomi nicanja zuba?
Za vreme procesa nicanja zuba desni iznad zuba koji raste su bolne i otečene. To je glavni razlog zašto su mnoge bebe razdražljivije nego inače. Obično počinju da grizu prste ili neku igračku ne bi li smanjili pritisak koji je nastao u desnima. Može se desiti da odbijaju hranu i piće zbog bolova. Mnogim bebama se pojačano luči pljuvačka pa se može pojaviti osip oko usta, po licu, na bradi ili grudima. Može se javiti i povišena temperatura. Ovi simptomi se javljaju 3-5 dana pre nego što se zub pojavi u ustima i prestaju čim zub probije desni.
Za olakšavanje ovih simptoma mogu se koristiti razna sredstva:
Ne treba upotrebljavati alkohol ili aspirin. Ne treba umakati flašice i cucle u šećer ili med jer to nikako ne doprinosi olakšanju bola, a može izazvati karijes. Kada i kako treba početi sa pranjem zuba?
Sa pranjem zuba se može početi još pre nego što nikne prvi zub tako što se desni bebice brišu vlažnom gazicom. Gazica se može upotrebljavati i kada niknu prvi zubi. Zube je potrebno prebrisati bar ujutru i uveče. U ove svrhe mogu se koristiti i različiti gumeni ili silikonski naprstci koji se mogu kupiti u apotekama i prodavnicama dečje opreme, ali i obična gaza ima istu funkciju. Gaza se može koristiti do 2. godine. Četkica se može polako uvoditi, prvo da se dete igra sa njom, a kasnije se počinje i sa četkanjem zuba. Ako se uvede četkica ona treba da bude meka i sa što manjom glavom. Nije potrebna upotreba paste, a ako se ona i koristi to bi trebalo da bude dečja pasta koja ne sadrži fluoride. Fluoridi su korisni za zube i pomažu u sprečavanju nastanaka karijesa, ali tako mala deca mogu da progutaju pastu što u nekom dužem periodu može dovesti do nastanka fluoroze zuba.
Do 2. godine razmaz paste, od 2.-6. zrno graška, posle 6. količina kao i za odrasle. Sa pastom je najbolje da se počne kada dete zna da ispljune tečnost iz usta. Do 2. godine se preporučuje samo razmaz paste na četkici. Od 2.-6. godine mogu se koristiti dečje paste koje sadrže manju koncentraciju fluorida (od 500-700 ppm) i i nanosi se na četkicu veličine zrna graška. Posle 6. godine mogu se koristiti i paste „za odrasle“ koje sadrže preko 1000 ppmF. Do treće godine deteta neophodno je da pranje zuba sprovodi roditelj, a kasnije, do polaska u školu (ili i nakon toga ako je potrebno) treba da bude pod njihovim nadzorom. Sve do polaska u školu njihova motorika još nije dovoljno razvijena da bi pranje zuba bilo kako treba i zato je pomoć potrebna. Zubi se peru najmanje dva puta dnevno, ujutru posle obroka i uveče pre spavanja, a poželjno bi bilo i posle obroka u toku dana.
Konac za zube treba uvesti u upotrebu čim dva međusobna zuba dođu u kontakt. Konac je potrebno koristiti jer površine između zuba koji su u kontaktu nije moguće valjano oprati četkicom i na tim mestima se često stvara karijes. Takođe, na desnima se zadržava plak što dovodi do njihove upale i krvarenja. Uticaj ishrane na zdravlje zubaZdravstveno stanje usne duplje povezano je sa načinom ishrane. Ishrana bogata ugljenim hidratima doprinosi nastanku i razvoju zubnog karijesa. Zbog toga je od velike važnosti stvaranje pravilnih navika u ishrani dece. Hrana koja je posebno štetna po zdravlje zuba:
Naročito je štetno unošenje zaslađenih tečnosti preko flašice, jer se na taj način ostvaruje dugotrajan kontakt između šećera i bakterija koje stvaraju karijes. Takođe veoma su važni učestalost i vreme unošenja šećera. Opasni su večernji i noćni obroci posle kojih ne sledi pranje zuba, jer se noću pljuvačka stvara u znatno manjoj količini. Na taj način je onemogućeno samočišćenje usne duplje, što pogoduje razvoju bakterija. One razlažu šećere da bi dobile energiju za svoje životne procese, a kao proizvod nastaju kiseline koje oštećuju čvrsta zubna tkiva. Ishrana koja je štetna za zube isto tako je štetna i po opšte zdravlje, jer doprinosi razvoju gojaznosti, a zatim i šećerne bolesti (dijabetesa) i oboljenja srca i krvnih sudova. Postoje i namirnice koje su korisne i čija upotreba doprinosi zdravlju usta i zuba, ali i opštem zdravlju. Neke od njih su:
Preporuke:
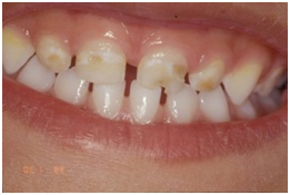
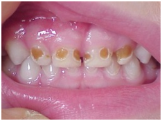
Cirkularni karijes
Kao posledica nepravilne ishrane (dugotrajnog izlaganja štetnom dejstvu ugljenih hidrata) kod dece nastaje cirkularni karijes (karijes ranog detinjstva, karijes flašice, baby bottle caries). Karijes kod beba i male dece je jako česta pojava iako mnogi misle da se mlečni zubi ne mogu pokvariti ili da su pak nebitni. Cirkularni karijes je poseban oblik karijesa koji se javlja na tek izniklim mlečnim zubima kod veoma male dece (u prve tri godine života). Prvo zahvata gornje centralne sekutiće (jedinice), a ukoliko se uzroci ne otklone ubrzo se širi i na ostale zube gornje i donje vilice. Jedini zubi koji su delimično pošteđeni zbog toka pljuvačke i položaja jezika su donji sekutići. Uzroci nastanka cirkularnog karijesaDo ovog oblika karijesa dovode tečna i kašasta zaslađena hrana, i česti noćni i dnevni obroci. Naročito je loša navika da dete spava sa cuclom u ustima ili da dugotrajno drži u ustima flašicu sa cuclom tokom dana. Bitno je znati da ova vrsta zubnog kvara ne nastaje odjednom, preko noći i ne izaziva ga „virus koji iznenada napada“, kao što mnogi roditelji misle. To je proces koji traje i posledica je, pre svega loših navika i nepravilne i neredovne higijene.
U početku se na zubićima vide:
Nekada je dovoljno samo nekoliko nedelja da proces napreduje od belih mrlja do razaranja zuba. Razaranje se širi kružno oko zuba (pa se zato i zove cirkularni karijes), zubi postaju izjedeni, crni i znatno su oslabljeni. Lako pucaju, a u ustima ostaju korenovi koji mogu da se inficiraju. Bol se ređe javlja i obično je znak komplikacija karijesa, kada se infekcija proširila na zubni živac i viličnu kost. Lečenje zavisi od faze u kojoj je bolest prepoznata. Kod početnih oblika potrebno je:
Promena loših navika je možda i najteži korak, jer predstavlja napor i za roditelje i dete, ali bez toga svako plombiranje zuba ili upotreba preparata fluorida su besmisleni. Kod uznapredovalih oblika cirkularnog karijesa, neophodna je intervencija stomatologa. Zalivanje fisura
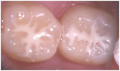
Jedan od načina da se zubi zaštite od nastanka karijesa je i zalivanje fisura. Fisure su udubljenja (brazdice) na griznoj površini zuba. Nekada su te fisure jako duboke i nepristupačne za vlakna četkice. Zato se ne mogu dobro oprati i često su mesto nastanka karijesa. Zalivanje ovih fisura je metoda kojom stomatolog popunjava te brazdice tečnom plombom u tankom sloju. Na taj način je taj deo zuba moguće lakše oprati pa su tako zaštićeniji. Zaliti se mogu i mlečni i stalni bočni zubi, i to čim oni niknu. Kada se preporučuje prva poseta stomatologu?
Prva poseta stomatologu treba da bude u prvoj godini života, a zatim najmanje jedanput godišnje kada se određuje individualan rizik, sprovode preventivne mere čime se sprečavaju neprijatni zahvati. Prvi dolazak deteta u stomatološku ordinaciju ne treba da bude praćen bolom, izuzev u hitnim stanjima (kada dete dolazi sa bolom, otokom, povredama, krvarenjem). Od izuzetnog je značaja pripremiti dete za posetu stomatologu, u čemu važnu ulogu imaju roditelji. Oni treba detetu da kažu da će ići kod zubara, da na pitanja deteta odgovaraju kratko, što jednostavnije. Pitanja o instrumentima, opremi, postupku ili bilo čemu u šta nisu sigurni treba da prepuste stomatologu koji će na ohrabrujući i prijateljski način pojasniti detetu (i roditeljima) ono što će se raditi u ordinaciji. Roditelji ne treba da pred detetom govore o svojim neprijatnim iskustvima kod stomatologa, da ih plaše (ako ne budeš dobar čika će da ti izvadi zub i slično), ali ni da obećavaju nešto što zubar ne može da ispuni. Često se dešava da roditelji kažu deci kako im zubar ništa neće uraditi, a onda od njega traže upravo suprotno, da uradi što više u jednoj poseti.
U prvoj poseti dete treba da se upozna sa novim, za njega nepoznatim okruženjem i sa lekarom na prijateljski, a ne zastrašujući način. Stomatolog će detetu pregledati zube i usnu duplju, i ustanoviti moguće rizike po zdravlje usta i zuba. Takođe će napraviti individuani plan prevencije i terapije, obučiti roditelje za pravilno održavanje higijene i odgovoriti na njihova pitanja. Ukoliko dete dobro sarađuje može ukloniti naslage sa zuba i uraditi fluorisanje. Prva poseta treba da traje kratko, jer pažnja male dece traje do 15 minuta, posle čega mogu postati razdražljiva i teška za saradnju. Prva poseta izgleda bitno drugačije ako dete dolazi u ordinaciju kada su zubi već oboleli. Tada nema vremena za privikavanje deteta na lekara i ordinaciju. Pomoć mu se mora ukazati odmah, a intervencije mogu biti neprijatne i dugotrajne. To ostavlja posledice na odnos malih pacijenata prema stomatologu. |

