Hepatitis
Hepatitis je bolest (upala) jetre. Jedna od osnovnih uloga jetre u organizmu je da uklanja štetne supstance iz krvi. Hepatitis narušava tu osnovnu ulogu što može da ima teške posledice po čovekovo zdravlje.
Najčešći uzrok hepatitisa su hepatitisni virusi, ali njega mogu izazvati i razni toksini (naročito alkohol), lekovi i autoimune bolesti.
Od virusnih hepatitisa najopasniji su B i C koji, ako se ne leče, mogu dovesti do posledica opasnih po život kao što su ciroza i karcinom.
Poreklo imena hepatitis je grčko i kovanica je od dve reči: hepat- (ἡπατ-), što znači jetra i sufiksa -itis, što znači upala.
Hepatitis je akutan ako traje manje od 6 meseci, u protivnom je hroničan.
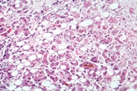
Alkoholni hepatitis sa masnim ćelijama u jetri.
Simptomi
Simptomi hepatitisa mogu da budu vrlo slabi ili da ih uopšte nema, a najčešći su:
- žutica,
- anoreksija (slab apetit),
- bol u stomaku (abdomenu),
- povišena telesna temperatura,
- uvećanje jetre,
- slabost.
Simptomi - akutni hepatitis
Početni simptomi akutnog hepatitisa (traje kraće od 6 meseci) su nespecifični i podsećaju na simptome gripa, što je zajedničko gotovo svim akutnim virusnim infekcijama. Ovi simptomi su slabost, bolovi u mišićima i zglobovima, groznica, mučnina ili povraćanje, dijareja i glavobolja.
Malo specifičniji simptomi, koji mogu pratiti akutni hepatitis bilo kog uzroka (vidi niže podnaslov „Uzroci hepatitisa“), su:
- ozbiljniji gubitak apetita,
- tamni urin,
- žuta boja očiju i kože, tj. žutica,
- uvećanje jetre (hepatomegalije),
- bol u stomaku (abdomenu),
- averzija ka pušenju među pušačima.
Fizički nalazi su obično slabi i minimalni, osim prilikom pojave žutice (30% slučajeva) i blagog oticanja, tj. uvećanja jetre, (10% slučajeva). U nekim slučajevima dolazi do uvećanja limfnih čvorova (limfadenopatija, 5%) i uvećanja slezine (5%).
Simptomi - hronični hepatitis
Hronični hepatitis (traje duže od 6 meseci) ponekad nema nikakve simptome ili su oni vrlo slabi i nespecifični kao što su slabost i umor.
Hronični hepatitis se obično otkriva analizom krvi. Uočljiviji simptomi hroničnog hepatitisa su:
- žutica,
- uvećanje jetre.
Ozbiljno oštećenje jetre kao što je ciroza, može imati za posledicu:
- gubitak težine,
- lako dobijanje modrica,
- sklonost krvarenju,
- znojenje nogu,
- nagomilavanje tečnosti u stomaku (abdomenu).
Ciroza eventualno može dovesti do različitih komplikacija kao što su:
- uvećanje vena u jednjaku što može uzrokovati krvarenje opasno po život,
- konfuzija i koma,
- otkazivanje rada bubrega.
Kod žena koje imaju autoimuni hepatitis mogu se pojaviti akne, poremećena menstruacija, upala tiroidne žlezde, oštećenje pluća i upala bubrega.
Uzroci hepatitisa
Najčešći uzroci hepatitisa su grupa virusa poznati kao hepatitisni virusi koji su dobili imena po abecedi: hepatitis A, B, C, D, E, G i neki još neidentifikovani. Hepatitis može biti uzrokovan i drugim razlozima kao što su toksini (naročito alkohol, neki lekovi, neki industrijski rastvarači i biljke), druge infekcije i autoimune bolesti.
Virusni hepatitis
Akutni hepatitis (traje kraće od 6 meseci) je najčešće uzrokovan sledećim virusima:
- hepatitis A,
- hepatitis B,
- hepatitis C,
- hepatitis D (samo ako je prisutan i virus hepatitisa B),
- hepatitis E,
- hepatitis G.
Neki od ovih virusa ne ostavljaju ozbiljne posledice po čovekovo zdravlje i predstavljaju samo privremeni problem. Sa druge strane, virusi hepatitisa kao što su B i C uzrokuju tešku i opasnu bolest koja je uporna, dugo traje, čak i celi život, a može imati i smrtan ishod za zaražene osobe.
Virusni hepatitis kod mlađih ljudi nema tipične simptome pa ga je teže uočiti.
Kod malog broja ljudi, akutni hepatitis može dovesti do otkaza rada jetre. Tada jetra ne može da uklanja štetne supstance iz krvi, što može da dovede do dezorijentacije, promenjenog nivoa svesti pa čak i kome. Sve je to posledica nagomilavanja štetnih i toksičnih materija u krvi koje se ne mogu iz nje odstraniti jer je jetra prestala da obavlja svoju funkciju zbog hepatitisa. Krajnji ishod može biti smrtan. Ponekad je transplatacija jetre jedini način da se ovaj problem reši.
Hepatitis može biti uzrokovan i sledećim virusima:
- parvovirus B19,
- rubela (uzrok rubeole),
- herpes,
- Epstein-Barrovim virus,
- parotitis i još nekim.
Alkoholni hepatitis
Alkoholni hepatitis najčešće nastaje zbog dugotrajne konzumacije alkohola. Etanol, koji se nalazi u alkoholu, je glavni krivac nastanka hepatitisa.
Simptomi alkoholnog hepatitisa su:
- malaksalost,
- povećanje jetre,
- stvaranje tečnosti u stomaku (abdomenu).
Alkoholni hepatitis u težem obliku može dovesti do žutice, ciroze jetre i na kraju njenog otkazivanja.
Hepatitis uzrokovan lekovima
Lekovi takođe mogu uzrokovati hepatitis. Neki od njih su:
- agomelatin (antidepresiv),
- amiodaron (antiaritmik),
- amitriptilin (antidepresiv),
- fenitoin i valproična kiselina (antiepileptici),
- halotan (posebna vrsta anestetičkog gasa),
- ibuprofen i indometacin (NSAID lekovi),
- izoniazid (INH), rifampicin i pirazinamid (antituberkulotici),
- ketokonazol (protiv gljivica),
- metildopa (antihipertenziv),
- nifedipin (antihipertenziv),
- nitrofurantoin (antibiotik),
- paracetamol,
- zidovudin (antiretrovirotik npr. protiv AIDS-a),
- neke lekovite biljke i dodaci u ishrani.
Razvoj hepatitisa koga izazivaju lekovi, zavisi od samog leka, ali i pacijentove reakcije na lek. Hepatitis koga uzrokuje halotan može varirati od blagog do smrtonosnog kao i hepatitis uzrokovan INH lekovima. Hepatitis koga uzrokuje amiodaron se vrlo teško leči zbog dugog poluživota leka (do 60 dana) što praktično znači da ne postoji efikasan način da se prekine izloženost pacijenta leku. Poluživot predstavlja vreme potrebno da se količina leka u organizmu smanji na polovinu koja u slučaju amiodarona iznosi 60 dana. Statini mogu povećati nivoe rezultata analize krvi koji se odnose na jetru iako hepatitis ne mora da postoji. U suštini, svaki lek može biti uzrok hepatitisu.
Hepatitis uzrokovan toksinima
Toksini (otrovi) koji mogu uzrokovati hepatitis su:
- Amatoksin koji se nalazi u otrovnim gljivama kao što su Zelena pupavka (Amanita phalloides), Bela muhomorka (Amanita ocreata) i neke vrste Galerina. Obrok od samo jedne pečurke može biti smrtonosan.
- Beli fosfor, industrijski i bojni otrov,
- Tetrahlormetan (sredstvo za hemijsko čišćenje odeće),
- Hloroform.
Hepatitis uzrokovan poremećajima u metabolizmu
Neki metabolički poremećaji kao što su hemohromatoza (nagomilavanje gvožđa) i Vilsonova bolest (akumulacija bakra) mogu uzrokovati neke forme hepatitisa.
Autoimuni hepatitis
Genetska predispozicja može biti uzrok autoimunom hepatitisu.
Hepatitis zbog masti u jetri
Usled gojaznosti dolazi do nagomilavanja masti u jetri, tj. do tzv. "masne jetre" (80% svih gojaznih ljudi imaju masti u jetri). Ova pojava je češća kod žena. Nagomilavanje masti može dovesti jetru do stanja upale, tj. hepatitisa koji se zove nealkoholni stetohepatitis (NASH). Ovaj vid hepatitisa na biopsiji vrlo podseća na alkoholni hepatitis, iako nije posledica konzumiranja alkohola. "Masna jetra" slabije obavlja svoju biološku funkciju otklanjanja toksina iz krvi što ima štetne posledice po zdravlje čoveka.
Hepatitis zbog "masne jetre" je posle hepatitisa C jedan od najčešćih uzroka bolesti jetre koji dovode do ciroze .
Načini infekcije virusima hepatitisa
Virusi hepatitisa A i E se u organizam unose preko usta te je za njegovu prevenciju važno voditi računa o ličnoj higijeni, imati čiste ruke i unositi higijenski ispravnu hranu i vodu. Ove vrste virusa se iz čovekovog organizma izlučuju stolicom.
Virusi hepatitisa B, C, D i G se dobijaju putem inficirane krvi i telesnih sekreta što znači da se mogu preneti seksualnim putem. Naročito lako se seksualnim putem prenosi virus B. Virusi B i C su najopasniji virusi koji se ne prenose vazduhom niti ih prenose komarci, dok nije pouzdano utvrđeno da li se mogu preneti preko usta.
Prevencija
Prevencija za hepatitis A i B postoji u vidu seruma i vakcine. Za hepatitis C i E ne postoje ni serum ni vakcina. Virus C ima veliku sposobnost mutacije te se javlja u velikom broju varijanata (6 osnovnih tipova i preko 100 podtipova). Ako pacijent primi vakcinu za jedan tip, ostaje nezaštićen za ostale tipove virusa. Navodno je Pamela Anderson dobila hepatitis C pirsingom.
Prema procenama Svetske zdravstvene organizacije, u svetu je hepatitisom B trenutno zaraženo oko 350 miliona ljudi, a godišnja smrtnost je 1,3 do 1,5 miliona. Hepatitisom C je inficirano oko 170 miliona, a godišnje umre oko 250 000 ljudi. Po nekim procenama, virusom C je u Srbiji zaraženo oko 80 000 ljudi. Tek svaki četvrti pacijent je svestan da ima hepatitis B ili C. Razlog za to je što ove infekcije dugo ostaju bez simptoma bolesti pa se ne prepoznaju. Veliki broj obolelih predstavlja ozbiljan zdravstveni, socijalni, čak i ekonomski problem za društvo. Poređenja radi, od AIDS-a (SIDA-e) boluje oko 40 miliona osoba.
Glavni problem kod hepatitisa je taj što se teško i kasno otkriva, često tek kad je već u poodmakloj fazi.
Hepatitis A
Hepatitis A se prenosi fekalno-oralnim putem, a najlakše preko zaražene hrane i vode. Ovaj virus stvara akutnu vrstu hepatitisa, dok hronična ne postoji (hronična traje duže od 6 meseci). Imuni sistem obolelog čoveka stvara antitela protiv hepatitisa A koja štite organizam. Prevencija za hepatitis A postoji u vidu seruma i vakcine.
U članku Hepatitis A možete saznati više o ovoj konkretnoj bolesti.
Hepatitis B
Hepatitis B se prenosi na sledeće načine:
- putem zaražene krvi (korišćenje zajedničke igle pri intravenskom uzimanju droge, žileti, kontakt sa otvorenom ranom zaražene osobe i sl.),
- polnim odnosom,
- sa majke na fetus,
- tetovažama i pirsingom (ako pribor nije sterilizovan i higijenski ispravan).
Hepatitis B stvara akutan, ali i hroničan hepatitis koji se javlja kod osoba čiji organizam nije u stanju da se izbori sa virusom. Podatak iz Sjedinjenih Američkih Država govori da se 95% obolelih sami izleče stvarajući antitela za virus B. Ostalih 5% obolelih ne uspe da se samostalno izleči pa hepatitis postane hroničan (traje duže od 6 meseci). Kod takvih bolesnika mogu da se jave ozbiljne komplikacije zbog dugotrajne izloženosti virusu. Ovi bolesnici uspevaju da stvore antitela protiv virusa hepatitisa B, ali u nedovoljnoj količini pa antitela ne mogu da suzbiju virus koji se razmnožava i ugrađuje u DNK napadnutih ćelija jetre. Konstantni nastanak virusa u kombinaciji s antitelima, može da stvori složenu imuno-bolest, tipičnu za takve bolesnike.
Zbog posledica hroničnog hepatitisa u koje spadaju ciroza i hepatocelularni karcinom, godišnje umire od 500.000 do 1.200.000 ljudi. Hepatitis B je naročito raširen u jugo-istočnoj Aziji gde su ciroza i hepatocelularni karcinom sve češći uzroci smrti.
Prevencija za hepatitis B postoji u vidu seruma i vakcine.
Hepatitis C
Hepatitis C se prenosi putem inficirane krvi. Ovaj virus dovodi do hroničnog oblika hepatitisa koji za posledicu najčešće ima cirozu. Simptome ovog virusa je vrlo teško uočiti te može ostati neotkriven 10 do 20 godina. Vakcina protiv virusa C ne postoji. Osobe obolele od virusa C se lako mogu zaraziti i virusom hepatitisa A i B te se oni vakcinišu protiv virusa A i B.
Hepatitis D
Hepatitis D se ne može širiti bez prisutnosti virusa hepatitisa B.
Hepatitis E
Hepatitis E je vrlo sličan hepatitisu A. Najrasprostranjeniji je na indijskom potkontinentu.

